Sensicam QE
cooled digital 12bit CCD camera system
PCO사에서 제작한 Sensicam QE 카메라는 고성능 cooled digital 12bit CCD 로 보다 향상된 electronic technology 시스템입니다.
열전자 cooling 센서는 이미지의 noise를 매우 적게 줄여주며 고감도로 작동하게 해줍니다.
뛰어난 Quantum efficiency (up to 62%)를 자랑하며 고속의 serial data link(fiber optic link available)로 PC에 연결됩니다.
Sensicam QE 저광량 카메라 시스템은 Fluorescence imaging, confocal & light microscopy 와 같이 고감도이며 저잡음을 필요로하는 분야에 최고로 적합합니다.
■ Features
▲ super quantum efficiency up to 65%
▲ extremely low noise, down to 4e- rms
▲ 12bit dynamic range
▲ thermo-electrical cooling (Peltier) down to -12°C
▲ high resolution (1376 x 1040pixel)
▲ shutter / exposure times from 500ns – 1000s
▲ binning (horizontal & vertical)
▲ region of interest (ROI)
▲ 10 frames per second at full CCD resolution
▲ remote control up to 1500m distance (with fiber optic link)
▲ free software camware included
■ Quantum Efficiency
■ Specification
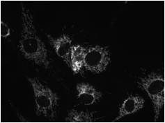
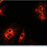
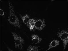
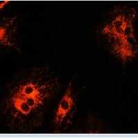
■ Examples of applications
Fluorescence in-situ hybridization (FISH) of an endothel cell.
























































































